Ir al contenido
Clínica Dental dr. Zaragoza
Clínica Dental
Escáner intraoral
Tratamientos
Implantología
Endodoncia
Estética Dental
Férula dental
Implantología
Odontología Conservadora
Odontopedriatría
Ortodoncias
Periodoncia
Protesis
Casos clínicos
Contacto
Clínica Dental
Escáner intraoral
Tratamientos
Implantología
Endodoncia
Estética Dental
Férula dental
Implantología
Odontología Conservadora
Odontopedriatría
Ortodoncias
Periodoncia
Protesis
Casos clínicos
Contacto
Pide cita online
Casos Clínicos
Casos Clínicos
Conoce nuestros casos clínicos
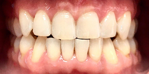
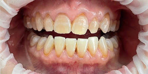
Blanqueamiento
Blanqueamiento
Blanqueamiento
Blanqueamiento
Blanqueamiento
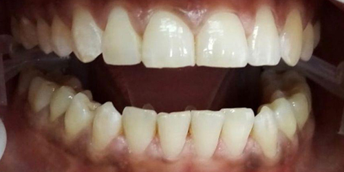
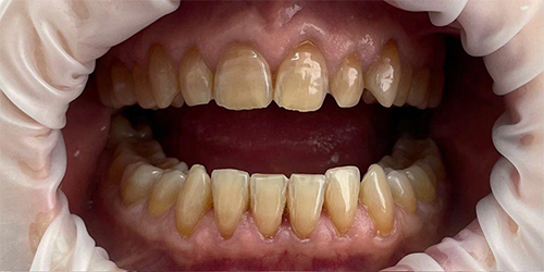
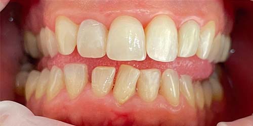
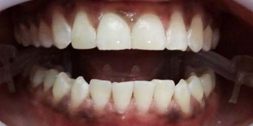
Blanqueamiento y carillas de zirconio
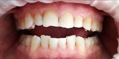
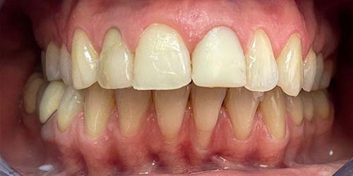
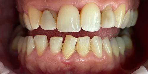
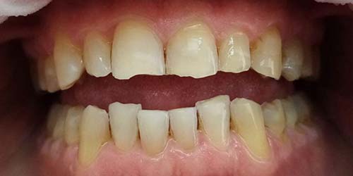
Blanqueamiento y carillas de composite
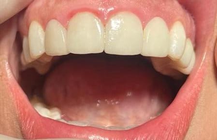
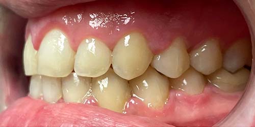
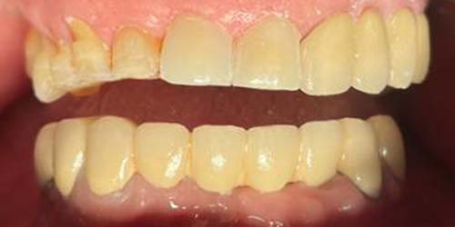
Blanqueamiento y carillas de composite en los incisivos laterales
Ortodoncia
Ortodoncia
Ortodoncia
Ortodoncia
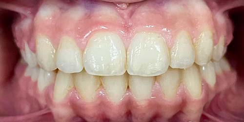
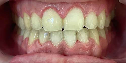
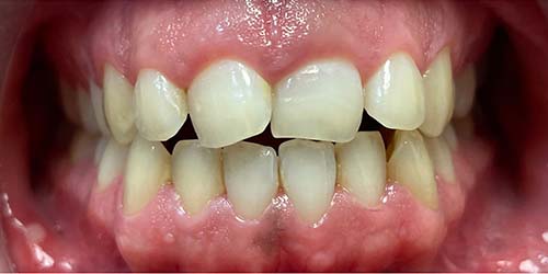
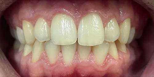
Blanqueamiento y coronas cerámica en incisivos
Ortodoncia
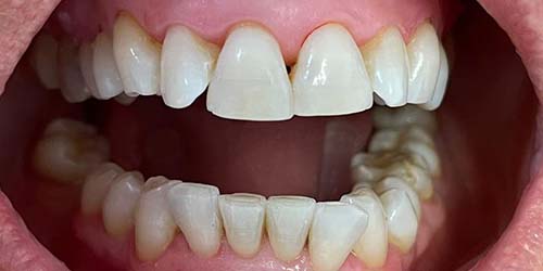
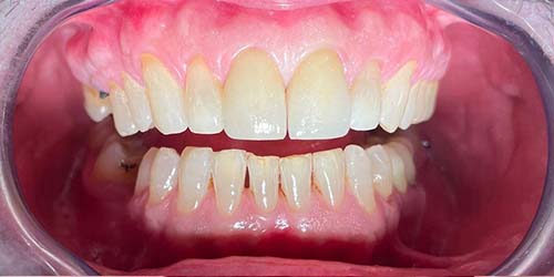
Puente Superior e inferior Porcelana y carillas incisivos centrales de composite
💬 ¿Necesitas ayuda?
WhatsApp
Hola 👋
¿En qué podemos ayudarte?
Abrir chat